歯の外傷
歯冠破折の治療例 その2

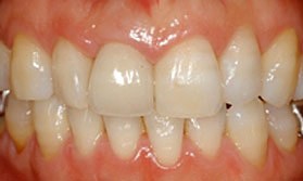
Before

After
| 主訴 | 歯冠破折 |
|---|---|
| 年齢・性別 | 8歳 男子 |
| 治療期間・回数 | 複数回 |
| 治療方法 | 見えていた歯髄の表層をとり(断髄し)、歯髄の傷が治りやすい薬で傷口を保護しました。その後、折れた破折片を、修復材にてもとの歯に接着しました。 |
| 費用 | 保険適用 |
| デメリット・注意点 | 定期的なレントゲンでのチェックが必要 |

Before

After
| 主訴 | 歯冠破折 |
|---|---|
| 年齢・性別 | 8歳 男子 |
| 治療期間・回数 | 複数回 |
| 治療方法 | 見えていた歯髄の表層をとり(断髄し)、歯髄の傷が治りやすい薬で傷口を保護しました。その後、折れた破折片を、修復材にてもとの歯に接着しました。 |
| 費用 | 保険適用 |
| デメリット・注意点 | 定期的なレントゲンでのチェックが必要 |

Before

After
| 治療期間・回数 | 6ヶ月~1年 |
|---|---|
| 治療方法 | インプラント、オーバーデンチャー、・ブリッジ治療。 |
| 費用 | 440,000円~550,000円【税込み】(インプラント1本あたり) |
| デメリット・注意点 | ・保険適用外の自由診療範囲となるため治療費が保険診療より高く感じる場合があります ・外科手術が必要になるため、患者さんに体力的な負担がかかります ・段階的に治療を進めていくため、治療期間が長くなります ・術後に痛み・腫れ・出血・合併症を伴う可能性があります ・術後も定期的なメンテナンスをしないと、機能が落ちやすくなります |

Before

After
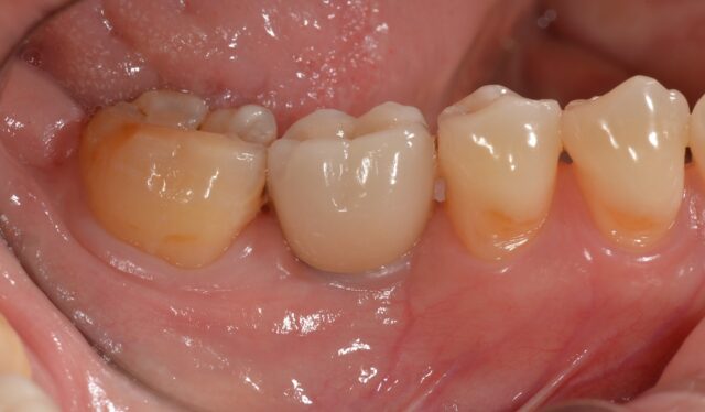
| 主訴 | 歯が折れたので見てほしい |
|---|---|
| 診断名 | 歯根破折 |
| 年齢・性別 | 50代・女性 |
| 治療期間・回数 | 6ヶ月~1年・5回 |
| 治療方法 | 待時インプラント |
| 費用 | 400,000円~450,000円【税込み】(インプラント1本あたり) |
| デメリット・注意点 | ・保険適用外の自由診療範囲となるため治療費が保険診療より高く感じる場合があります ・外科手術が必要になるため、患者さんに体力的な負担がかかります ・段階的に治療を進めていくため、治療期間が長くなります ・術後に痛み・腫れ・出血・合併症を伴う可能性があります ・術後も定期的なメンテナンスをしないと、機能が落ちやすくなります |

Before

After
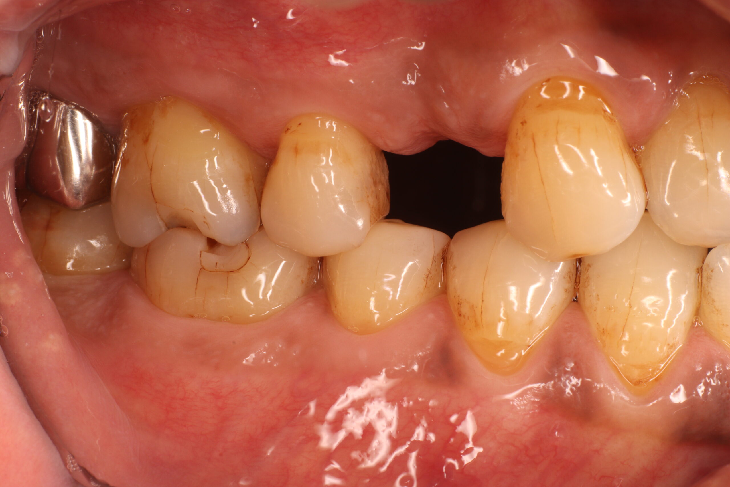
| 主訴 | 膿んでいる。噛むと違和感がある。 |
|---|---|
| 診断名 | 慢性根尖性歯周炎 |
| 年齢・性別 | 50代・男性 |
| 治療期間・回数 | 6ヶ月~1年・5回 |
| 治療方法 | 待時インプラント |
| 費用 | 400,000円~450,000円【税込み】(インプラント1本あたり) |
| デメリット・注意点 | ・保険適用外の自由診療範囲となるため治療費が保険診療より高く感じる場合があります ・外科手術が必要になるため、患者さんに体力的な負担がかかります ・段階的に治療を進めていくため、治療期間が長くなります ・術後に痛み・腫れ・出血・合併症を伴う可能性があります ・術後も定期的なメンテナンスをしないと、機能が落ちやすくなります |

Before

After
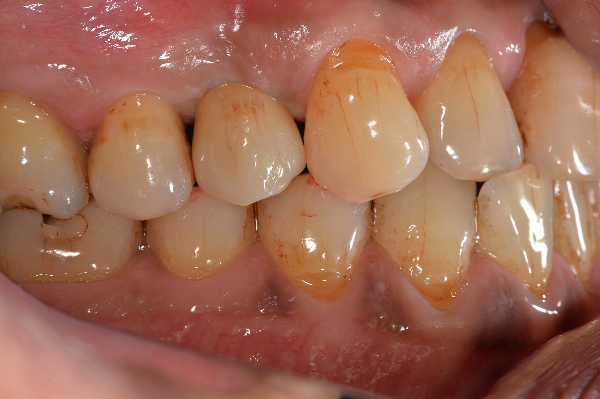
| 治療期間・回数 | 6ヶ月~1年 |
|---|---|
| 治療方法 | インプラント |
| 費用 | 440,000円~550,000円【税込み】(インプラント1本あたり) |
| デメリット・注意点 | ・保険適用外の自由診療範囲となるため治療費が保険診療より高く感じる場合があります ・外科手術が必要になるため、患者さんに体力的な負担がかかります ・段階的に治療を進めていくため、治療期間が長くなります ・術後に痛み・腫れ・出血・合併症を伴う可能性があります ・術後も定期的なメンテナンスをしないと、機能が落ちやすくなります |