インプラント
上顎前歯部のインプラント

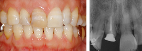
Before

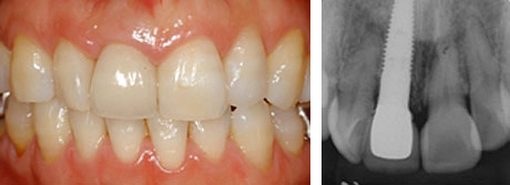
After
| 治療期間・回数 | 6ヶ月~1年 |
|---|---|
| 治療方法 | インプラント |
| 費用 | 440,000円~550,000円【税込み】(インプラント1本あたり) |
| デメリット・注意点 | ・保険適用外の自由診療範囲となるため治療費が保険診療より高く感じる場合があります ・外科手術が必要になるため、患者さんに体力的な負担がかかります ・段階的に治療を進めていくため、治療期間が長くなります ・術後に痛み・腫れ・出血・合併症を伴う可能性があります ・術後も定期的なメンテナンスをしないと、機能が落ちやすくなります |
治療の流れ
この症例は、折れてしまった前歯をインプラントで治療した例です。

治療前:右上前歯の破折で患者さんは来院されました。

残念ながら、患歯は治療することができず抜歯になりました。以前は、このような状態をブリッジで治していましたが、きれいなとなりの歯を削ることなくこの状態を治す方法として、インプラントは優れています。

治療後:天然歯と見分けがつかないぐらいに治っています。
