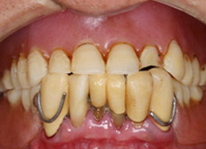
入れ歯治療
金属床義歯の症例

使用する金属床義歯

After
| 主訴 | 入れ歯が使えない。噛むと痛い。 |
|---|---|
| 年齢・性別 | 79歳・女性 |
| 治療期間・回数 | 2ヶ月・約2~4回 |
| 治療方法 | 義歯製作(自費) |
| 費用 | 275,000円【税込み】 ※使用する金属・本数によって変動があります。 |
| デメリット・注意点 | 金属床義歯は、薄く丈夫で快適性に優れていますが、保険診療の義歯に比べて費用が高くなります。また、構造が精密なため、将来的な修理や調整が複雑になる場合があります。金属アレルギーをお持ちの方は、事前の確認が必要です。 |


