自家歯牙移植
第二大臼歯部への親知らずの移植

Before

After
| 主訴 | 第二大臼歯が吸収を受けており保存が不可能な状態 |
|---|---|
| 年齢・性別 | 16歳 女性 |
| 治療期間・回数 | 約5回/3ヶ月~6ヶ月 |
| 治療方法 | 自家歯牙移植 |
| 費用 | 10万~20万円【税込み】(自費範囲の場合) ※奥歯の移植は保険適用になる場合があります) |
| デメリット・注意点 | ・保険適用外の自由診療範囲となるため治療費が保険診療より高く感じる場合があります ・移植可能な歯(ドナー歯)がないと適用できません ・移植する部位の骨の量や幅があることが必要です ・移植元と移植先の2箇所に外科的治療を行います ・高齢の方にはインプラントを推奨する場合があります |
治療の流れ

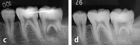
a、b: 治療前。16歳、少女。
第二大臼歯が吸収を受けており保存が不可能でした。そこで、隣接する親知らずを同部へ移植することにしました。

c : 移植直後
d : 移植後3ヶ月

e、f : 移植後6ヶ月

g、h : 移植後3年
