自家歯牙移植
自家歯牙移植症例

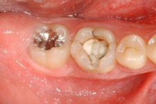
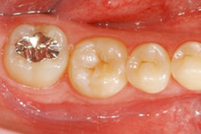
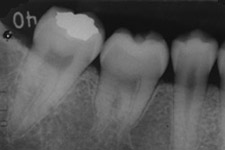
Before

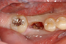
After
| 主訴 | 第一大臼歯が割れてしまっていて治療することが困難 |
|---|---|
| 年齢・性別 | 18歳 男性 |
| 治療期間・回数 | 約5回/3ヶ月~6ヶ月 |
| 治療方法 | 自家歯牙移植 |
| 費用 | 10万~20万円【税込み】(自費範囲の場合) ※奥歯の移植は保険適用になる場合があります) |
| デメリット・注意点 | ・保険適用外の自由診療範囲となるため治療費が保険診療より高く感じる場合があります ・移植可能な歯(ドナー歯)がないと適用できません ・移植する部位の骨の量や幅があることが必要です ・移植元と移植先の2箇所に外科的治療を行います ・高齢の方にはインプラントを推奨する場合があります |
治療詳細

適切な条件がそろえば、歯の移植が可能です。歯の移植とは、治療することができない歯を抜いて、その場所へ本人の親知らずなどの歯を移す治療です。例えば、下のパノラマエックス線写真は18歳の男子です。右下の第一大臼歯が割れて痛みを伴って来院されました。この歯の保存できないと判断して、その歯を抜歯し,後ろにあるまだ生えていない親知らずをそこへ移植しました。移植の適切な条件とは、患者さん年齢が概ね40歳以下であること、口腔内に適切なドナー歯(主に親知らず)があること、移植歯(ドナー歯)と移植部位(受容側)の大きさが適合すること、などです。
治療の流れ
治療前

治療前の様子。第一大臼歯が割れてしまっていて治療することが困難です。

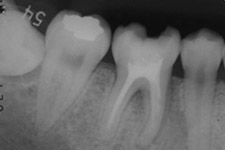
治療前のレントゲンの様子
移植中の様子

第一大臼歯の抜歯後2週間で移植を行いました。

移植のために抜歯された右下の親知らず。歯根がまだ完成していない若い歯です。
移植後

移植直後の歯の様子。

移植直後。歯根がまだ完成していない歯では、根の先が開いていることに気づきます。
4年後

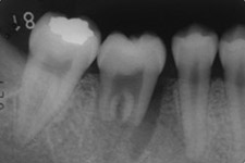
移植後4年。親知らずが第一大臼歯の代わりを担っています。

4年後。移植後に根が少し成長しているのが分かります。歯の神経もつながっています。
